
Making Digital Pathology
More Practical Than Ever
Our serverless web app supports nearly all image formats and is agnostic to slide scanning vendors — powered by limitless cloud compute and storage to scale pathology workflows worldwide.

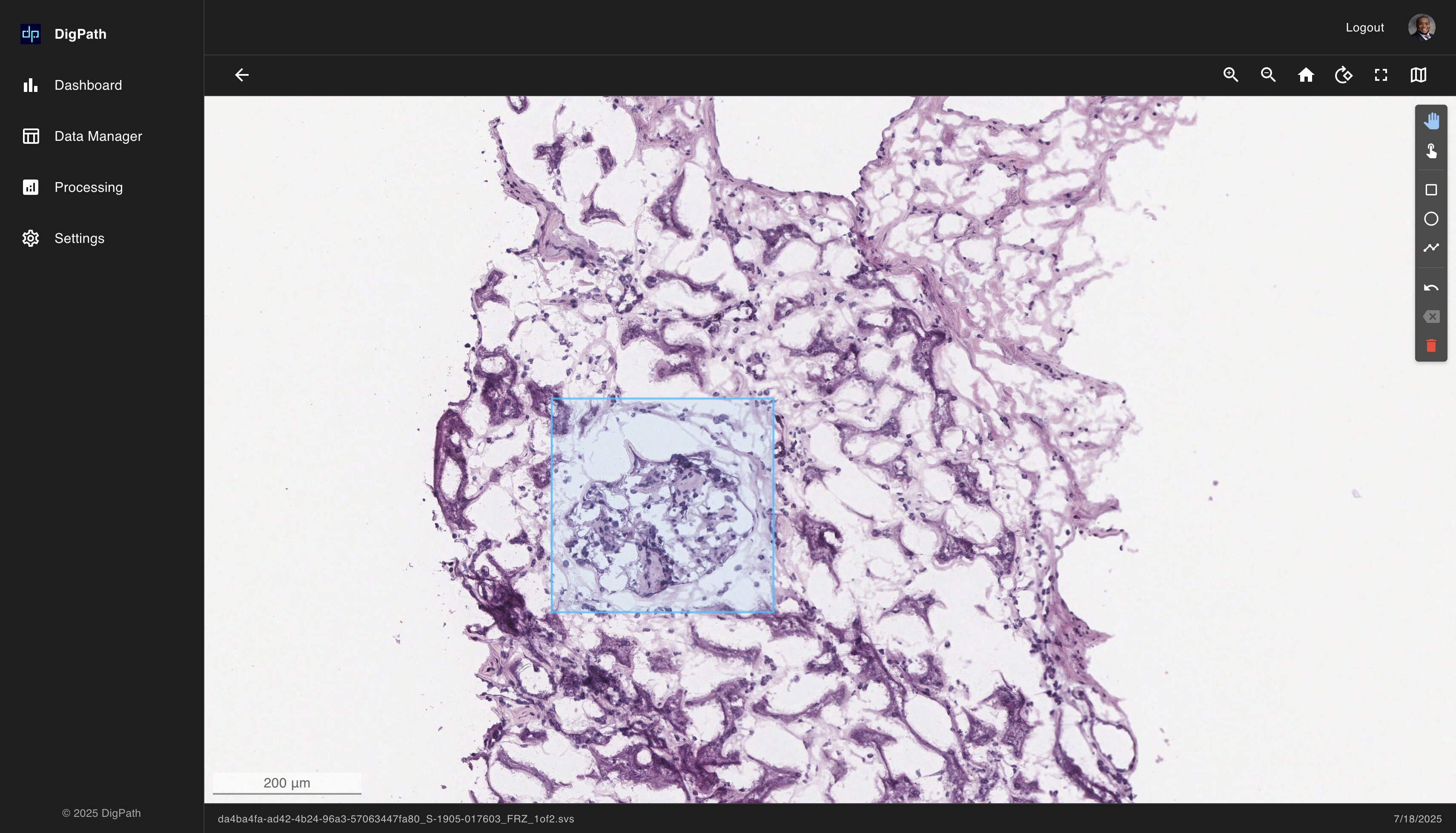
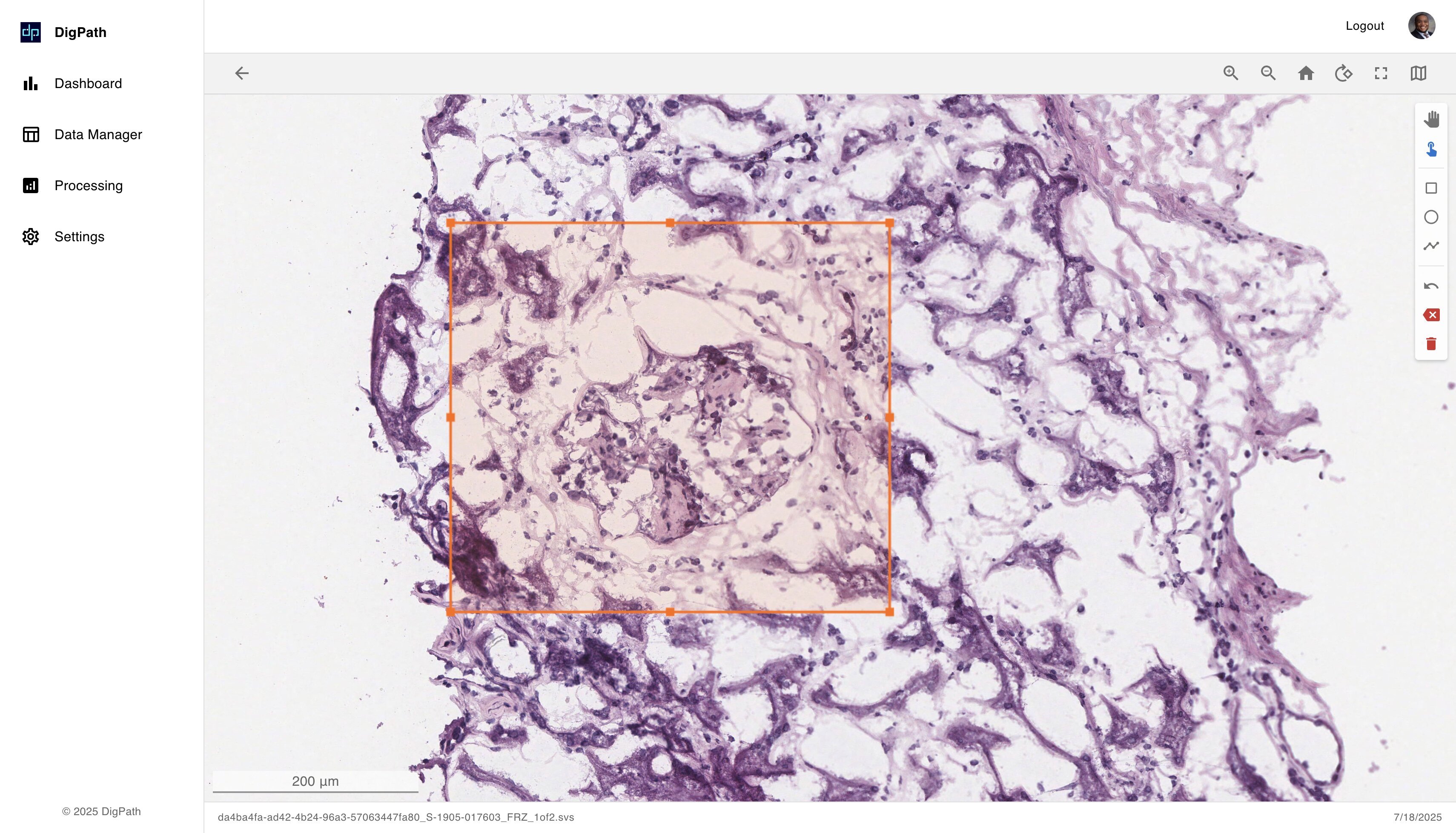
See DigPath in Action
Experience instant gigapixel image viewing, AI-powered image analysis modules, and collaborative annotations. From whole slide image upload to professional review - no processing delays, just immediate access to your digital slides.
Core Platform Capabilities
Essential tools for professional digital pathology workflows
Dashboard Analytics
Track case progress, workflow metrics, and diagnostic performance with comprehensive reporting tools
Workflow Management
Streamlined case assignment, review queues, and automated notification systems for efficient operations
Multi-Device Access
Responsive design optimized for desktop workstations, tablets, and mobile devices with touch navigation
API Integration
RESTful APIs and GraphQL endpoints for seamless integration with existing laboratory information systems
Supported by leading partners



AI-Powered Digital Pathology Tools
Developing cutting-edge AI tools to transform pathology workflows
AI Whole Slide Analysis
Advanced machine learning models for comprehensive slide analysis
Global Telepathology
Connect with expert pathologists worldwide for instant consultation and collaboration
Real-time Heatmaps
Interactive overlays highlight areas of interest with confidence scoring
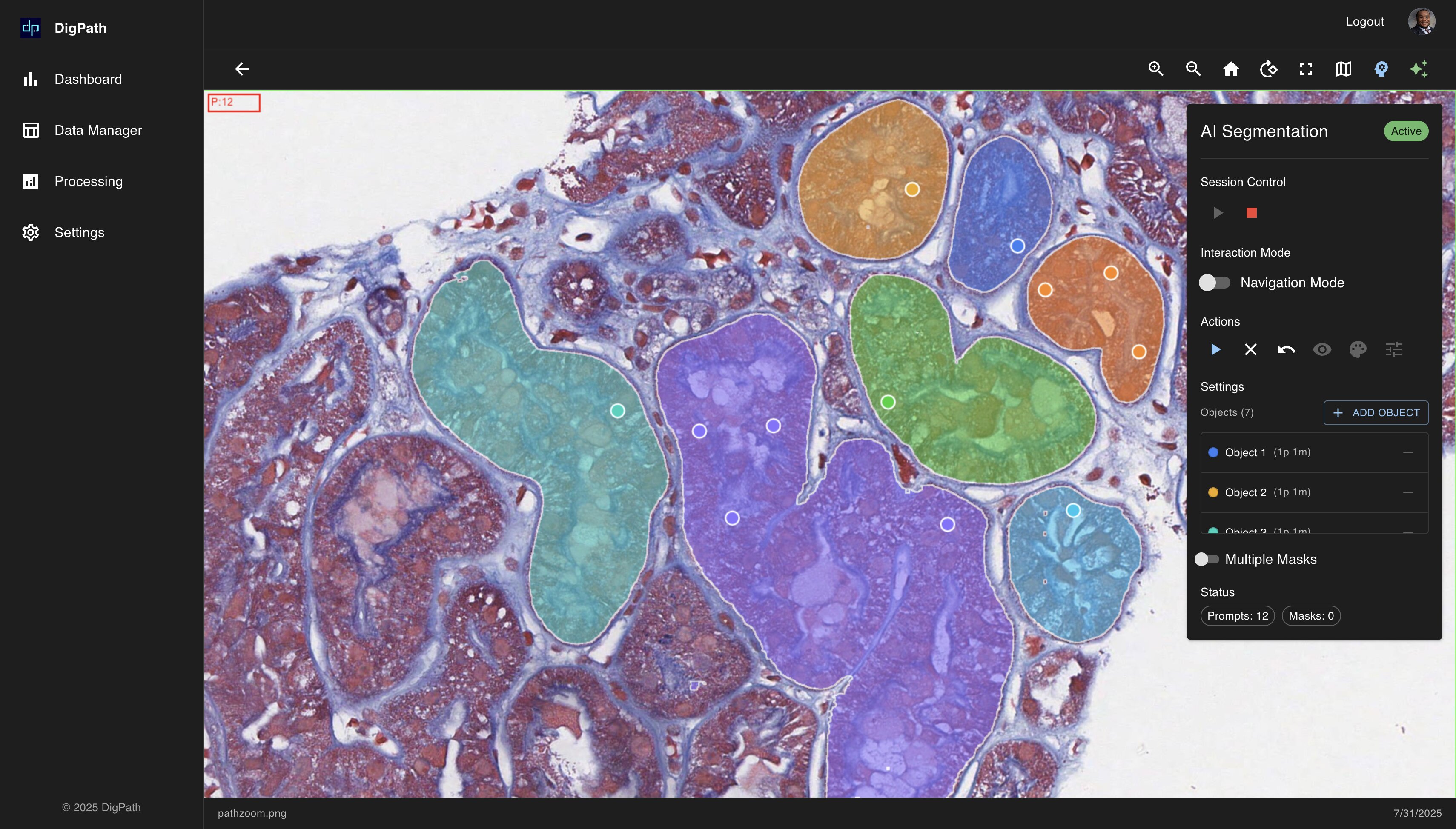
AI Cell Segmentation Tools
Revolutionary image segmentation technology working at the cellular level
Precision Cell Segmentation
Our AI segmentation tool works impressively well for cell segmentation right out of the box. Ready for fine-tuning, cell classification, and quantification.
We're developing an AI-powered platform that also makes computer vision tasks faster and easier. Exciting things coming soon!


Pathology becomes
beautifully collaborative
Connect pathologists worldwide with seamless real-time commenting, precise annotations, and instant case discussions.

Transforming Digital Pathology Worldwide
Addressing the global pathologist shortage through AI-powered pathology tools
🏥 Hospitals & Health Systems
- Streamline workflow processing times
- AI-enhanced biopsy review for research
- Access to expert pathology interpretation
- Support efficient laboratory operations
🔬 Diagnostic Laboratories
- Standardized pathology reporting workflows
- Quality assurance through AI validation
- EHR integration for seamless operations
- Telepathology consultation network
🌍 Underserved Regions
- Bridge the global pathologist shortage
- Connect with specialist expertise worldwide
- Cloud-based access from any location
- Affordable AI-powered diagnostic support
🧬 Research Institutions
- Large-scale pathology datasets for AI training
- Collaborative research platform
- Standardized diagnostic protocols
- Advanced analytics and reporting tools
Shaping the Future of Diagnostics
Led by experts in AI, pathology, and healthcare innovation
Ready to Transform Your Pathology Lab?
Join leading institutions using AI to enhance pathology workflows

